Sorry for the inconvenience.

Chinese users are only allowed to visit websites which complies with the PIPL (Personal Information Protection Law of the People's Republic of China) effective November 1st.

▲ Scan or click the QR code to visit 三星医疗




The personal information of existing Samsunghealthcare.com chinese users will be kept until October 29th and will be safely deleted thereafter.

Upgrade browser for full Samsung Healthcare experience

It looks like you may be using a web browser that we don’t support.
Make sure you’re using one of these recommended browsers,
or upgrade your browser by clicking the icons, to get the full Samsung Healthcare experience.

To check which browser you use

https://whatsmybrowser.org/
본문 바로가기

HS30

HS30
Ease of use

Built with features designed with the user in mind and ergonomic design, HS30 helps enhance your productivity and scanning comfort.

Tools for versatility

HS30’s enhanced tools boost versatile examination capabilities offering an efficient and effective care.

Advanced imaging technologies

ClearVision

The noise reduction filter improves edge enhancement and creates sharp 2D images. ClearVision provides application-specific optimization and temporal resolution in live scan mode.

Knee with ClearVision
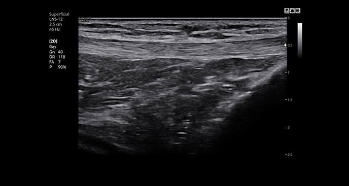
S-Harmonic

S-Harmonic using pulse inversion technology improves image clarity, near to far. Reducing signal noise, S-Harmonic provides more uniform ultrasound images.

Kidney color with S-Harmonic
S-Flow

S-Flow, a directional Power Doppler imaging technology, can help to detect even the peripheral blood vessels.

MultiVision

MultiVision controls ultrasound beam electronically by steering, and compounds many scan lines for better image. MultiVision provides remarkable spatial and contrast resolution with even greater artifact suppression than ever before.

Enhanced tools

ElastoScan

A diagnostic ultrasound technique for imaging elasticity, ElastoScan detects the presence of solid masses in tissues and converts any stiffness into color images.

AutoIMT+

AutoIMT+ is a screening tool to analyze a patient's potential risk of cardiovascular disease. It allows easy intima-media thickness measurement of both the anterior and posterior wall of the common carotid by the click of a button. This simple procedure enhances exam productivity and adds diagnostic value.

Strain+

Strain+ is a quantitative tool for global and segmental wall motion of the left ventricle (LV). In Strain+, three standard LV views and a Bull's Eye are displayed in a quad screen for an assessment of the LV-function.

Panoramic+

Panoramic+ imaging displays as an extended field-of-view so users can examine wide areas that do not fit into one image as a single image. Panoramic+ imaging also supports angular scanning from linear transducer data acquisition.

NeedleMate+

NeedleMate+ helps needle targeting when performing commonly used intervention procedures.

BiometryAssist

A semi-automatic technology for biometric measurement, BiometryAssist, enables users to measure the fetal growth parameters such as BPD, HC, AC and FL with one click while maintaining exam consistency.

LaborAssist

LaborAssist is a function that provides information of the progress of delivery by the automatic measurement of AoP (Angle of Progress) and the direction of the fetal head. This not only helps in effective communication between the healthcare professionals and mothers, but also assists in making delivery decision for the healthcare professionals.

* AoP complies with the metrics specified in the ISUOG Guideline.
3D XI

Comprised of a suite of outstanding imaging applications (Multi-Slice View, Oblique View, and XI VOCAL), 3D XI offers precise control over 3D/4D volume data manipulation to improve diagnostic accuracy.

2D NT

2D NT is a function to measure NT (Nuchal translucency) using the ROI box, and it helps you to measure the maximum value quickly and accurately.

Increasing efficiency

EzAssist

EzAssist provides the anatomical information of the human body at the screen to guide easy ultrasound scanning for untrained people.

Abdomen with EzAssist

*Click the picture above to watch the full version of EzAssist actual scan scene

EzCompare

EzCompare allows access to previously taken exams to evaluate corresponding views in a side-by-side display. EzCompare automatically matches the image settings, annotations, and bodymarkers from the prior study.

Thyroid with EzCompare
EzExam+

EzExam+ enables users to build or to use predefined protocols and could help users perform full investigation by eliminating the risk of forgetting an image or loop capture, as well as measurement and transducer preset changes.

HelloMom Simple transfer of fetal ultrasound images and clips

HelloMom is a simple and secure image sharing solution by generating QR code for the selected fetal images. Pregnant women and family are capable of downloading images of fetus by scanning on the QR code using smartphone, reducing the hassle of installing a separate application.

Secure Your Care

Samsung Healthcare Cybersecurity

  • Intrusion Prevention

    Tools for protecting against cyber threats from external attacks

  • Access Control

    Strengthened surveillance for tracking the access of patient information

  • Data Protection

    Encryption functions for safeguarding data whether at-rest or in-transit

LEARN MORE
  • This product, features, options, and transducers are not commercially available in all countries.
    Due to regulatory reasons, their future availability cannot be guaranteed. Please contact your local sales representative for further details.
  • In Canada and USA, strain value for ElastoScan is not applied.
  • The availability of some products, features, options, and transducers mentioned in this catalog may vary from country to country, and is subject to varying regulatory requirements.

The described product information, including features and options, is CE marked. Regulatory approval/clearance status may vary by country. CE 0123